Fracture de cheville
La fracture de cheville correspond le plus souvent à une fracture de une ou des deux malléoles de la fibula et du tibia.
Il s’agit d’une des fractures les plus courantes en orthopédie. C’est une fracture articulaire nécessitant un traitement chirurgical dans l’immense majorité des cas.
Les symptômes
L’interrogatoire retrouve un traumatisme de cheville violent en torsion. Ce traumatisme est responsable d'une douleur brutale avec une incapacité à l’appui et à la marche entraînant une consultation aux urgences.
Les symptômes sont :
- La douleur
- L’œdème
- Une déformation de la cheville
- L’impotence fonctionnelle totale
Les complications à rechercher sont :
- Des lésions ou une ouverture cutanées
- Des troubles neurologiques
- Des troubles vasculaires
Diagnostic
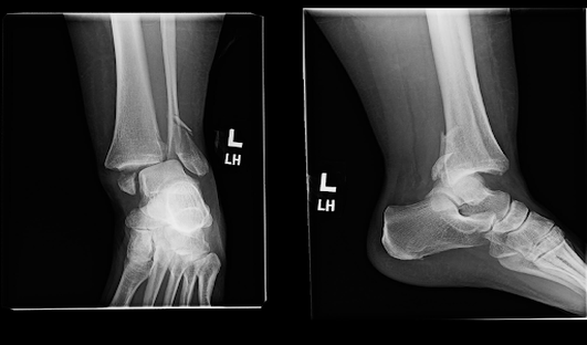
Le diagnostic repose sur une radiographie standard en 3 incidences :
Face, face en rotation interne de 20° et profil.
La radiographie retrouve la fracture et permet d’établir le diagnostic. Un scanner peut être demandé pour préciser le trait de fracture et orienter la décision chirurgicale.
Prise en charge
La prise en charge initiale aux urgences consiste en une immobilisation par un plâtre ou une attelle et des antalgiques. Si la fracture n’est pas déplacée on peut réaliser un traitement orthopédique dans de rares cas.
Ce traitement consiste en une immobilisation sans appui pour une durée de 6 semaines. Pendant ces 6 semaines un traitement par anticoagulant préventif des phlébites est mis en place. A la suite des 6 semaines le plâtre est retiré et la kinésithérapie est débutée.
Dans la majorité des cas, le traitement est chirurgical. Il consiste en une réduction et ostéosynthèse par du matériel orthopédique: plaque et vis sont le plus souvent utilisées. L’opération se fait en ambulatoire. Les suites opératoires sont différentes, mais entraînent souvent un non-appui pendant 6 semaines également sous couvert d’une botte de marche.
Les risques
Les risques de la fracture sont, en aiguë :
- Atteinte cutanée liée à la déformation de la cheville
- Lésion nerveuse ou vasculaire
- Infection après la chirurgie
À long terme :
- Arthrose de cheville
- Raideur de cheville
- Douleurs chroniques
Les questions fréquentes
Oui, après l’immobilisation de 6 semaines la marche est reprise avec appui et après une bonne rééducation la marche sans boiterie est récupérée. Cependant il peut rester un manque de souplesse et des douleurs chroniques.
Oui, Il s’agit d’une fracture articulaire et l’objectif de l’opération est de restaurer l’anatomie de l’articulation pour éviter des complications à distance.